- 技术文章
SCS1000大面积太阳能电池量子效率测试系统:量子光伏效率的终极验证
2025-07-10 10:09:53 来源:bjzolix
引言
量子科技,作为21世纪*具颠覆性的科技之一,正以前所未有的方式推动着诸多领域的飞速发展。光电领域作为现代科技的重要组成部分,正积极拥抱量子科技带来的革命性突破。从医疗成像到能源充电,从精准的时频测量到国防中的量子传感,量子科技正在为这些领域中光电技术的应用注入新的活力。本篇文章将详细探讨量子科技在光电领域的应用,聚焦量子医疗成像、量子充电、原子钟、量子测量以及量子传感在国防中的潜力和前景。
正文
一、量子成像(医疗领域)
量子科技对三个关键成像领域的深远影响:医学成像、高端显示和量子增强光学相干断层扫描(OCT)。每个领域通过量子创新,获得了前所未有的精度、清晰度和能效。
1. 量子科技在医学成像中的应用
医学成像是受益于量子科技的*重要领域之一。量子增强系统承诺提供更早期的疾病检测、更高分辨率的内脏图像,以及减少有害辐射暴露的更安全的成像技术[1]。
图1 医疗成像技术[1]
1.1 用于增强诊断的量子成像技术
量子成像将通过提供超越经典成像技术极限的灵敏度和精度来彻底改变医学诊断。量子增强成像可以检测以前难以观察的细微生物结构。
量子成像的主要方法之一是利用量子纠缠。纠缠光子可以增强成像系统的灵敏度,减少典型的医疗成像设备(如X射线或超声波)中的噪声。例如,量子成像利用纠缠光子创建高分辨率图像,而无需主要检测系统直接与对象相互作用。这项技术可以减少对生物组织的损害风险,同时获得更清晰的图像[2]。
图2 量子增强成检测生物流程图[2]
图3 量子增强成像观察生物图[2]
1.2 量子磁共振成像(MRI)
量子科技有望显著改善磁共振成像(MRI),这是*常见的无创成像方法之一。通过使用如钻石中的氮-空位色心(NV色心)等量子传感器,研究人员可以精确测量磁场,从而提供分子水平上的更详细图像[3]。
量子增强的MRI技术使软组织成像更加准确,有助于更早期地检测癌症、心血管疾病或神经系统疾病。这些进步还减少了扫描所需的时间,从而为患者提供更舒适的体验。
图4 MRI技术检测细胞[3]
1.3 正电子发射断层扫描(PET)和量子传感器
量子科技可以增强正电子发射断层扫描(PET),这是用于检测癌症、脑部疾病和心脏病的成像技术,通过跟踪体内放射性示踪剂的分布来实现。量子传感器可以提高PET检测器的分辨率和灵敏度,从而以更低的辐射剂量获得更清晰的图像。
量子增强的检测器减少了所需的放射性示踪剂数量,通过限制辐射暴露提高了患者的安全性,同时仍然能产生高分辨率的图像。量子科技还改进了PET扫描过程中产生的微弱信号的检测,提供了更准确的数据解读。
1.4 生物光子学中的量子光子技术
量子光子技术在推动生物光子学发展方面发挥了重要作用,生物光子学研究光与生物组织的相互作用。量子成像技术如量子增强荧光显微镜和拉曼光谱允许研究人员以更高的分辨率观察分子和细胞过程。例如,量子荧光显微镜可以实时跟踪单个分子的行为,提供有关细胞生物学、蛋白质动态和药物相互作用的见解。这种技术在癌症研究中特别有用,识别分子变化可以促进早期诊断和靶向治疗。
2. 量子科技在高端显示中的应用
量子科技在高端显示中的应用已经革新了消费电子产品,提高了色彩准确度、亮度和能效。在这场革命的核心是量子点(QDs),这是一种半导体纳米晶体,具有传统显示技术无法比拟的独特光学特性[4]。
图5 量子科技下高端显示[4]
2.1 量子点提升色彩和亮度
量子点在将光转换为特定波长方面极其高效,产生的色彩鲜艳、准确,远远超过传统显示器。当用于量子点发光二极管(QLED)显示器时,量子点提供了以下优势:
更高的色彩准确度:通过调整量子点的大小,QLED显示器能够实现比传统LED或OLED显示器更广泛的色域。这项技术特别受到高端电视、监视器和智能手机的青睐。
提高的亮度和对比度:量子点还可以增强亮度,在高环境光条件下提供更好的对比度和可见性,使其非常适合户外观看或明亮的房间。
节能高效:量子点在光转换方面非常高效,从而降低了功耗。QLED显示器使用更少的能源来产生更亮和更准确的色彩,延长了设备的使用寿命,同时保持高性能。
2.2 在消费电子中的应用
量子点现已成为许多高端消费设备的核心,提供了增强的视觉体验。领先的电视制造商如三星和索尼已在其高端型号中采用了QLED技术,支持4K和8K分辨率以及HDR(高动态范围),以提供出色的画质。这项技术在游戏、摄影和媒体制作等行业中特别受欢迎,这些行业需要高分辨率显示器以实现准确的图像和视频呈现。
除了电视,量子点还越来越多地用于智能手机显示屏和计算机显示器中,在这些领域中,紧凑且节能的显示屏尤为重要。下一代的可折叠和柔性显示屏预计也将受益于量子点技术,从而实现新的形态,而不影响视觉性能。
2.3 在增强现实(AR)和虚拟现实(VR)中的新兴应用
量子增强显示器正在成为增强现实(AR)和虚拟现实(VR)技术发展的关键,这些技术要求高像素密度、快速响应时间和生动的色彩再现,以创造沉浸式体验。量子点技术能够在AR眼镜和VR头显中产生清晰的图像,具有出色的亮度和对比度,在不同的光照条件下也能表现出色。
量子点显示屏的低功耗也延长了便携式AR和VR设备的电池寿命,使其在日常使用中更加实用。随着AR和VR在游戏、医疗保健、教育和设计等行业中的整合,量子增强显示器将在确保这些应用成功中发挥重要作用[5]。
图6 量子增强显示器[6]
3. 量子增强光学相干断层扫描(OCT)
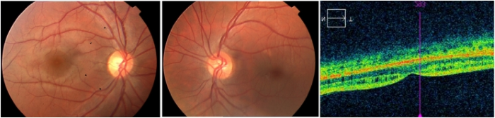
光学相干断层扫描(OCT)是一种常用于眼科、皮肤科和心血管成像的非侵入性成像技术。OCT通过测量反射光的时间延迟和强度来提供生物组织的高分辨率横截面图像[6]。
图7 OCT检测眼睛示意图[6]
量子增强的OCT利用了如压缩光和量子纠缠等量子特性,实现比经典OCT系统更高的精度和灵敏度。这些进步带来了更清晰、更详细的图像,有利于医学诊断和科学研究。
3.1 压缩光降低噪声
在传统的OCT中,散粒噪声——光子的随机波动——可能限制图像的分辨率和对比度。量子增强的OCT系统使用压缩光,这是一种在某些参数上噪声降低的光形式,以抑制散粒噪声并提高图像质量。
压缩光能更准确地检测反射光的相位和强度,从而使生物组织的图像更加清晰、细腻。这项技术在眼科领域尤为重要,在视网膜疾病如老年性黄斑变性或青光眼的早期检测中可以发挥关键作用。
3.2 量子纠缠提高分辨率
通过使用纠缠光子,量子增强的OCT系统可以实现比经典方法更高的分辨率成像。纠缠光子保持彼此之间的强关联,即使它们相距甚远。这个特性使得对从样本返回的光的测量更加精确,从而获得更清晰、更详细的图像。
在医学应用中,量子增强的OCT可以深入了解组织的微观结构,帮助早期诊断癌症、心血管疾病和神经系统疾病。这种增强的分辨率在皮肤科领域也有显著的应用,识别皮肤组织中的微小变化可以促成早期且更准确的治疗,如黑色素瘤的检测。
3.3 眼科和心血管成像中的应用
量子增强的OCT在眼科领域已成为必不可少的工具,高分辨率成像对诊断和监测糖尿病视网膜病变、黄斑变性和青光眼等疾病至关重要。量子科技提供的更高灵敏度使这些疾病得以早期检测,可能避免视力丧失并改善患者的预后。在心血管成像中,OCT用于可视化动脉结构并检测如动脉粥样硬化等疾病。量子增强的OCT系统可以提供动脉斑块的更清晰图像,帮助医生更好地判断是否需要支架或手术等治疗。
3.4 科学研究中的量子OCT
除了医学应用,量子增强的OCT还是科学研究中的宝贵工具。在材料科学中,量子OCT可以用来在微观水平上检查材料的内部结构,提供有关材料在不同压力或环境下表现的特性。在生物物理学中,量子增强的OCT允许研究人员研究活组织内发生的复杂过程,如胚胎发育或癌细胞的行为。通过提供详细的、非侵入性的成像,量子OCT为在细胞和分子水平上研究生物系统开辟了新途径。
二、量子光源(能源领域)
量子科技有望在能源领域带来变革性的发展,特别是在两个关键领域:量子充电和提高太阳能电池的效率。这些创新将*大地提升能源的采集、存储和利用方式,推动更加可持续且高效的能源解决方案,塑造未来的能源格局。
1. 量子充电技术的应用
量子科技*令人兴奋的应用之一就是量子充电。传统的充电方式依赖经典过程向储能设备(如电池)传输能量,这种方式在速度和效率上存在固有的局限性。而量子充电则利用量子力学的独特特性——例如叠加和纠缠,大幅提升充电过程的效率。量子电池的工作原理是:多个能量态可以同时存在,从而允许更快的能量传输。在传统电池中,能量通常是逐个单位地转移,这意味着电池的充电时间随着电池容量的增加呈线性增长。然而,量子电池能够利用量子叠加效应同时充电多个能量单元,从而以指数级缩短充电时间[7]。
图8 量子充电技术[7]
此外,量子纠缠在量子充电中发挥着关键作用,它将电池的不同部分的量子态联系在一起。这意味着向电池的一个部分输入能量可以即时影响其他部分,这种现象打破了经典物理的限制。结果不仅是显著的充电速度提升,还带来了更加高效的能量传输过程,减少了能量损失。例如,研究表明,量子电池可以实现超快充电,大大缩短电动汽车或大规模储能系统的充电时间。这一突破可以彻底改变依赖电池技术的行业,从消费电子到可再生能源系统,通过使能源储存更能响应需求、显著减少停机时间来提升整个行业的效能[8]。
量子充电的应用影响不仅限于便利性,在可再生能源领域,如太阳能或风能,这类能源通常会间歇性地产生能量。量子电池可以在多余能源生产的时期,实现更加高效的能量储存。通过减少储能所需的时间,量子电池可以在较短时间内捕获和存储更多的能量,从而使可再生能源更加可靠。此外,预计这些电池在使用过程中将减少退化,这是传统电池的一个常见问题,进而延长其使用寿命,减少频繁更换的需求。这使得量子电池不仅充电更快,也更加可持续,符合全球减少浪费和提高能源效率的目标。
2. 提高太阳能电池效率的量子科技
除了在储能方面的突破性进展,量子科技还拥有*大的潜力显著提高太阳能电池的效率,这一技术在可再生能源领域至关重要。传统的基于硅的太阳能电池已经接近其效率极限,通常只能将约20-30%的阳光转换为可用电力[9]。然而,量子科技,特别是量子点和量子相干性,为突破这些效率障碍提供了有前景的解决方案。
量子点(QDs)是可以根据其大小吸收和发射不同波长光的半导体纳米晶体,这种特性使它们在多结太阳能电池中得到应用,能够比传统太阳能电池吸收更广范围的光谱[10]。在传统的硅太阳能电池中,大部分阳光(尤其是红外线和紫外线部分)要么没有被吸收,要么被低效地转换。而量子点可以被调谐以捕捉这些原本被浪费的光谱部分,从而显著提高效率。例如,通过叠加设计为吸收不同波长光的量子点层,太阳能电池可以实现超过40%的效率,远远超出目前技术的限制。这一创新可以彻底改变太阳能发电,使其在全球范围内成为更具竞争力的替代化石燃料的能源。
量子点还具有多激子生成(MEG)的优势[11],即一个光子可以生成多个电子-空穴对,从而大幅增加相同太阳光的电力输出。这与经典太阳能电池中的单光子生成一个电子-空穴对的机制有显著不同。通过实现多激子生成,量子点使太阳能的转换效率大幅提升,进一步增强太阳能电池的整体性能。能够从相同的光输入中生成更多的电流,使基于量子点的太阳能电池不仅效率更高,而且成本效益更佳,因为它们无需增加相应的材料或生产成本就能产生更多的电力。
另一种提升太阳能电池效率的量子效应是量子相干性,这种现象已在自然界的光合作用中观察到。在某些生物系统(如植物和藻类)中,量子相干性允许从阳光中捕获的能量以*优方式传输[12]。通过这一量子现象,能量可以通过多条路径同时传输,确保其更有效地到达目标。受自然界启发,科学家们正在探索如何将量子相干性引入人工太阳能电池中,以优化电池内部的能量传输。通过在吸光分子之间保持相干性,太阳能电池可以*大限度地减少能量损失,并提高整体的转换效率。这一突破可能会导致一类效仿自然界高效光合作用的全新高效太阳能电池的诞生,为新一代太阳能技术提供了蓝图。
除了这些量子效应,上转换和下转换技术也可以进一步提升量子太阳能电池的性能[13]。上转换是指将低能量的光子(如红外光)转换为高能量光子,使太阳能电池能够吸收更多红外光谱的能量,而这一部分能量通常在传统太阳能电池中被浪费掉。下转换则是将高能量光子分裂成多个低能量光子,这些光子可以更有效地转换为电力。通过同时使用上转换和下转换技术,量子增强的太阳能电池能够捕获更广范围的光谱,从而进一步提高其效率,使它们与传统能源相比更具竞争力。
量子点、量子相干性以及先进的光子转换技术的结合,可以促进新一代太阳能电池的研发,使得新电池的效率远高于目前*佳性能的电池。这些创新技术不仅可以应用于大规模太阳能发电厂,还可以应用于小型便携式太阳能电池板。此外,量子增强的太阳能电池还可以与建筑集成光伏(BIPV)结合[14],如窗户和外墙,为建筑提供发电和美观、结构完整性兼顾的多重功能。这可以将城市景观转变为能源生产环境,显著减少城市的碳足迹,并为全球可持续发展做出贡献。
虽然量子科技在太阳能电池和储能方面仍处于研究和开发阶段,但目前取得的进展表明了一个光明的未来。将量子充电技术融入储能系统可以实现更快、更高效且可持续的能源基础设施,而量子增强的太阳能电池可以提供所需的效率突破,使太阳能成为全球能源结构中的主力军。这些量子创新技术有潜力彻底改变能源领域,为21世纪*紧迫的挑战(包括能源安全、气候变化和资源可持续性等)提供解决方案。随着量子技术的不断发展,也许有一天量子科技会为我们的家庭、车辆和城市提供动力,开启一个清洁、高效、可靠的能源新时代。
三、量子测量(时频领域)
量子科技在时频领域带来了革命性的变化,其中*为深远的创新之一便是原子光钟的诞生。这种突破性的技术利用量子力学原理,实现了时间和频率测量的空前高精确度,*大推动了科学、工业和技术等相关领域的进一步发展。原子光钟通过利用原子在光频率下的振荡来工作,这种频率远高于传统原子钟(如铯钟)使用的微波频率。更高的振荡频率使原子光钟能够以极高的精确度测量时间——其精确度如此之高,以至于在数十亿年间仅可能快或慢不到一秒。这种卓越的精确度不仅仅是时频测量领域的奇迹,还在导航定位、科学研究等依赖精密测量的技术中扮演着至关重要的角色。
原子光钟的核心工作原理在于光与单个原子的相互作用[15]。在传统原子钟中,原子在微波辐射下,调整该辐射频率直至其与原子的自然共振频率相匹配。然而,在原子光钟中,使用的是光波辐射,这种辐射的波长更短,振荡更快。这种更高的频率使时间间隔的测量更加精确。具体来说,原子光钟依赖于锶或镱等原子之间的能级跃迁,这些原子在极其稳定且定义明确的频率下发射光。通过锁定这些频率,原子光钟能够实现远远超出传统钟表的稳定性和精确度。这种精确度在空间探索、粒子物理学和电信等多个领域至关重要,因为在这些领域中,即便是*小的时间偏差也可能导致重大错误。
全球定位系统(GPS)是原子光钟在测量领域*显著的应用之一。GPS卫星依赖原子钟提供准确的时间信号,这些信号用于计算地球上接收器的位置。这些卫星上时钟的精确度直接决定了定位数据的准确性[16]。使用传统的原子钟,GPS的准确度通常在几米范围内。然而,应用原子光钟后,这一误差可以缩小到厘米甚至毫米级,彻底革新了导航系统。这一改进将对依赖精确定位的行业产生深远影响,如自动驾驶汽车、农业和物流。例如,自主驾驶汽车需要实时且高度精确的位置数据,特别是在城市环境中,小幅的定位误差可能导致事故。同样,在农业领域,厘米级的GPS数据精确度可实现精准农业技术,使机器能够以*小的浪费和*大的效率播种、施肥或收割作物。
除了导航,原子光钟还改变了计量学,即测量科学。原子光钟的稳定性和精确度使得对光速、万有引力常数和普朗克常数等基础物理常数的测量更加精确。这些常数支撑了现代物理学的许多方面,对于保持科学研究和技术发展的连贯性至关重要[17]。通过提高这些常数的测量精度,原子光钟有助于国际单位制(SI)的改进,确保时间、长度、质量等量的测量保持准确和全球一致。例如,千克这一单位曾经由物理物体(国际千克原器)定义,但现在已经通过基于普朗克常数的量子方法进行了重新定义,这些方法可以通过像原子光钟这样极其精确的设备来测量。计量学向量子标准的转变确保了这些测量不会像物理样本那样随时间退化或漂移。
除了在基础物理常数测量中的作用,原子光钟在科学研究,尤其是天文学和宇宙学领域也有着*大的潜力。原子光钟的极高精度使科学家能够探测由引力场引起的时间微小变化[18],这是爱因斯坦广义相对论预言的一个效应。这个现象称为引力时间膨胀,它表明在强引力场中,时钟的运行会减慢,例如在行星、恒星或黑洞附近。通过将原子光钟置于不同的引力环境中,科学家们可以以前所未有的精确度研究引力对时间的影响,从而深入了解时空和引力本身的性质。这在地球物理学领域也有实际应用,地球的引力场变化可以用来研究质量分布的变化,例如由地壳活动或极地冰盖融化引起的变化。高灵敏高精度探测这些变化对于监测自然灾害、预测地震和追踪气候变化等至关重要。
原子光钟在推动量子物理学的发展,特别是在测试基本理论的极限方面,发挥着重要作用。例如,原子光钟的极高精度使其成为测试洛伦兹不变性原理的理想工具之一,洛伦兹不变性是爱因斯坦相对论中一个关键性原理之一,指出物理定律对于所有观察者都是相同的,无论其速度或位置如何。任何对洛伦兹不变性的偏差都可能表明存在超出标准模型的新物理,如量子引力或额外维度。通过比较不同参照系或引力场中原子光钟的振荡,物理学家能够以前所未有的精度检验这一原理。这些实验有可能为量子力学和广义相对论的统一提供一种新思路。
原子光钟的另一重要应用是在网络同步中。在当今高度互联的世界中,跨大规模网络的时钟同步对于金融市场到通信网络的一切至关重要。原子光钟提供了超精确的时间信号[19],确保系统保持到纳秒级的同步。这对高频交易尤为重要,在这种交易中,金融交易在几分之一秒内完成,即便是*小的时间差异也可能导致巨大的财务损失。同样,电信网络依赖于精确的时间管理来处理通过互联网传输的数据,确保信息按正确顺序传输和接收。原子光钟以其极高的精度消除了这些系统中时间漂移的风险,防止数据损坏,并确保关键基础设施的可靠性。
在太空探索中,原子光钟为导航和通信开辟了新的可能性。深空任务(例如那些前往火星或更远星际的任务)需要高度精确的时间管理,以确保航天器能够在太空中导航并与地球通信。涉及的距离非常遥远,这意味着即便是微小的时间测量误差也会导致重大的导航错误。原子光钟通过提供稳定且精确的时间基准,使航天器即便在*遥远的太空区域也能极其精确地确定其位置。这种能力对于未来前往遥远行星、卫星或小行星的任务至关重要[20]。此外,原子光钟还可以用于同步航天器与地球之间的通信,确保即便跨越遥远距离,信号也能以*小的延迟或误差进行传输和接收。
在量子通信和量子计算领域,原子光钟在保持量子系统的相干性和稳定性方面也发挥着关键作用[21]。量子计算机依赖于量子态的叠加,这些态对环境干扰极其敏感。由原子光钟提供的精确时间管理确保量子比特(qubits)在更长的时间内保持相干性,从而能够执行更复杂的计算并减少误差率。同样,在量子通信系统(如量子密钥分发(QKD))中,发送方和接收方之间的精确同步对于量子密钥的安全传输至关重要。原子光钟确保这些系统以所需的精度运行,从而降低错误或安全漏洞的风险。随着量子网络的扩展并逐渐融入全球通信系统,原子光钟将在保持量子信息的完整性和安全性方面发挥重要作用。
通过提供有史以来*精确的时间频率测量能力,原子光钟不仅在重新定义我们对时间的理解,还在推进新技术和科学突破的实现。原子光钟的无与伦比的精确度不仅在全球导航和电信等领域提供了基础支持,还推动了基础物理学研究和量子计算等领域的技术突破。借助原子光钟,量子科技在时频测量领域的应用正在发生革命性变化。
四、量子传感(国防领域)
光电技术,涉及使用光来传输和处理信息的设备和系统,因量子力学的应用而取得了显著进展。这些突破正在重新塑造国家防御能力,提供前所未有的通信安全、探测、成像和对抗能力,提升通信安全、检测系统和监视能力,以及通过改善军事战略优势来塑造战争的未来。
量子科技在光电技术中对国防*具革命性的应用之一是量子通信,特别是量子密钥分发(QKD)。军事通信系统的安全性是防御战略的关键要素。传统上,军事通信的加密依赖于经典的加密方法,例如 RSA(Rivest-Shamir-Adleman),尽管这些方法目前仍然有效,但在未来量子计算机的攻击下将变得脆弱[22]。正在开发的量子计算机将具有足够的计算能力来破解依赖于大数分解难题的经典加密算法,这可能会使*敏感的军事通信暴露在敌方的解密面前。
然而,量子通信通过提供一种理论上无法破解的加密方法,彻底改变了这一局面。QKD 通过在量子态(如光子的极化或相位)中编码加密密钥来运行[23]。量子力学的定律,特别是不可克隆定理和海森堡不确定性原理,确保任何试图窃听这些量子态的行为都将不可避免地扰乱它们,从而提醒通信双方发生了入侵。这确保了加密密钥在传输过程中保持安全,使敌方不可能拦截敏感的军事数据而不被发现。
在军事应用中,保持通信渠道的安全而不被拦截至关重要。量子通信通过光电设备的增强,如量子光子探测器,允许通过光纤或自由空间通信系统(卫星、无人机等)传输安全数据。通过将量子探测器集成到这些系统中,军事单位可以确保信息流的安全,防止敌方访问实时战略信息,如部队行动、任务计划或情报数据。中国的墨子号卫星实验已经展示了长距离 QKD 的潜力,显示了建立全球量子安全军事通信网络的前景[24]。这些进步为各国提供了一个量子安全的未来,免受量子计算带来的威胁,并建立了几乎无法破解的军事通信安全新标准。
量子科技在光电技术应用于国防领域的另一项重大进展是量子增强传感。量子传感器利用量子现象,如叠加和纠缠,超越了经典传感器的局限,能够检测到环境条件中*微小的变化。这些高灵敏度传感器可以检测物理量(如光、磁场和振动)的微小变化,为军队在威胁检测、态势感知和早期预警系统方面提供了重大升级。
量子传感器代表了早期预警雷达和激光雷达(LIDAR)系统的飞跃,对于检测敌军、导弹、飞机和其他潜在威胁至关重要。量子增强激光雷达(LIDAR)技术[25]允许军队在恶劣的能见度条件下,如雾天、烟雾或黑暗中,以前所未有的精度检测物体。通过利用量子特性,如单光子探测,量子 LIDAR 系统可以生成战场的高分辨率 3D 地图,提供实时态势感知。这些传感器能够检测到传统 LIDAR 系统可能遗漏的远处物体的微弱反射,确保任何隐藏的威胁都不会被忽视。这一能力对自主军事无人机和无人车辆尤为关键,这些设备依赖于准确的地图和障碍物检测在复杂环境中导航。
在防空方面,量子雷达提供了突破性的增强。传统雷达系统难以检测到隐形飞机,后者设计成能够吸收或偏转雷达波以*小化其可见度。然而,量子雷达利用量子纠缠原理,以更高的灵敏度检测物体。通过发射纠缠光子对,量子雷达系统可以通过观察光子对在物体反射时的变化来检测飞机。这使得量子雷达能够穿透隐形技术,有效地抵消隐形飞机提供的优势。配备量子雷达的军事力量将能够检测和跟踪那些传统雷达系统无法检测到的飞机,为防御提供显著优势。
此外,量子磁力计通过测量潜艇或水下航行器运动引起的地球磁场的微小变化,为海军防御提供了高灵敏度的检测手段。潜艇传统上难以检测,尤其是在深水中,它们可以躲避声学和视觉检测。量子磁力计能够以惊人的准确性远距离检测到这些船只,使海军更有效地监控水下威胁。这项技术可能会改变反潜作战,为海军舰队提供更高的安全性,并保护关键的海上贸易路线免受潜艇攻击。
量子增强成像是量子科技在光电领域中对国防的另一重要应用。量子成像技术(如量子成像和量子干涉)允许在挑战性条件下进行高分辨率成像,提升监视和侦察能力。传统的成像系统(如用于卫星、无人机或地面监控摄像头的系统)受限于环境因素,例如低光、灰尘遮挡或伪装目标。量子成像通过利用光子之间的量子关联克服了这些限制,允许在光子数量较少的情况下形成图像,这意味着即使在低光条件或部分遮蔽的环境中,也可以获得更清晰的图像。
在军事行动中,这项技术对于情报收集具有重要价值。例如,量子成像可以使用未直接与被成像物体相互作用的光子创建高质量图像。在战场环境中,量子成像可以使无人机或卫星在夜间或浓雾中获得敌方阵地的清晰图像,而传统的光学系统将难以做到这一点。获取高质量的实时图像而不暴露成像光源的能力提供了显著的战术优势,使军队能够保持隐蔽,同时收集关键的侦察数据。
量子干涉可用于检测微小的振动或位移,为军队提供检测隐藏基础设施(如地下掩体或导弹发射井)的能力[26]。通过分析光波在不同表面反射后的相互干涉,量子干涉仪能够检测到环境中原本难以察觉的微小变化。这使其成为定位和识别敌方隐藏设施的有力工具,从而能够进行先发制人的打击或在军事行动中做出更明智的决策。量子成像还可应用于卫星侦察,在军事行动规划中,高分辨率的敌方领土图像至关重要。通过将量子增强传感器集成到卫星系统中,军队可以提高监控敌方、追踪部队调动和从太空识别战略目标的能力。这为军事指挥官提供了更清晰的战场图景,使得目标打击更加精确,减少附带损害的风险。
量子科技在光电领域的应用还扩展到了对抗技术的发展,这对于摧毁敌方系统至关重要。量子增强激光系统为激光干扰、光学隐形和定向能武器提供了新的能力,这些都是现代战争中的关键技术。激光干扰[27]是一种用于通过激光信号压制敌方传感器和通信系统的技术。量子增强激光可以发射具有前所未有精度的激光束,使军队能够瞄准敌方传感器(如无人机、导弹或监控系统上的传感器)并有效致盲或禁用它们。这些激光系统还可以干扰来袭导弹的制导系统,防止它们击中预定目标。通过中和敌方的探测和跟踪军事设备的能力,量子增强激光干扰为电子战中的防御提供了强大的能力。
另一个有前景的应用是光学隐形[28]。传统的隐形技术主要侧重于*小化雷达特征,而量子增强光学隐形通过操控光线使物体对光学检测系统不可见。通过弯曲或重新引导光线,量子隐形设备可以使军事车辆或飞机几乎无法被敌方摄像机、无人机或视觉传感器探测到。这项技术可以显著提高军事设备的隐形能力,使其能够在敌方环境中不被发现地行动。
量子科技还在推动定向能武器(DEWs)的界限,这些武器使用集中的能量束(如激光或微波)来摧毁敌方设备或人员[29]。量子增强激光凭借其更高的功率和精度,可以使定向能武器在更长的距离上对更广泛的目标更加有效。这些系统可以用于导弹防御,拦截和摧毁来袭的弹药,或用于反无人机作战,在无人机到达目标之前将其禁用。
结论
量子科技在光电领域的应用发展中发挥了至关重要的作用,带来了革命性的进步。在医疗领域应用中,量子技术为精准诊断和高效治疗开辟了新途径,有望*大地提升人类的健康水平。能源领域应用中,量子科技助力开发更高效、可持续的能源解决方案,为应对全球能源挑战提供了新的可能。原子光钟作为量子测量的重要成果,*大地提高了时间频率测量的精度,为科学研究和技术发展奠定了坚实基础。在国防领域应用中,量子光电技术增强了国家的安全保障能力,为维护和平稳定发挥了关键作用。
展望未来,量子科技的发展前景无比广阔。随着研究的不断深入和技术的持续创新,我们完全有理由相信,量子科技将在更多领域展现出惊人的潜力。它可能会进一步推动医疗技术的突破,实现对疾病的更早期诊断和更个性化治疗。在能源领域,有望引领新的能源革命,创造出更加清洁、高效的能源供应模式。在时频领域,测量技术将更加精准,为科学探索提供更强大的工具。国防领域也将因量子科技的进步而更加坚固,确保国家的安全与稳定。量子科技的未来充满无限可能,将持续为人类社会的发展和进步注入强大动力。
作者简介
*一作者:雷帅、张家璇
通讯作者:徐信业 教授
作者单位:华东师范大学精密光谱科学与技术国家重点实验室
引用文献
[1]A.A. Abd El-Latif, B. Abd-El-Atty, M.S. Hossain, Md.A. Rahman, A. Alamri, B.B. Gupta, Efficient Quantum Information Hiding for Remote Medical Image Sharing, IEEE Access 6 (2018) 21075–21083.
[2]C.A. Casacio, L.S. Madsen, A. Terrasson, M. Waleed, K. Barnscheidt, B. Hage, M.A. Taylor, W.P. Bowen, Quantum-enhanced nonlinear microscopy, Nature 594 (2021) 201–206.
[3]G. Balasubramanian, A. Lazariev, S.R. Arumugam, D. Duan, Nitrogen-Vacancy color center in diamond—emerging nanoscale applications in bioimaging and biosensing, Current Opinion in Chemical Biology 20 (2014) 69–77.
[4]K. Bourzac, Quantum dots go on display, Nature 493 (2013) 283–283.
[5]T.-H. Kim, K.-S. Cho, E.K. Lee, S.J. Lee, J. Chae, J.W. Kim, D.H. Kim, J.-Y. Kwon, G. Amaratunga, S.Y. Lee, B.L. Choi, Y. Kuk, J.M. Kim, K. Kim, Full-colour quantum dot displays fabricated by transfer printing, Nature Photon 5 (2011) 176–182.
[6]G. Rebolleda, L. Diez-Alvarez, A. Casado, C. Sánchez-Sánchez, E. De Dompablo, J.J. González-López, F.J. Muoz-Negrete, OCT: New perspectives in neuro-ophthalmology, Saudi Journal of Ophthalmology 29 (2015) 9–25.
[7]L. Ramrath, G. Moreno, H. Mueller, T. Bonin, G. Huettmann, A. Schweikard, Towards Multi-Directional OCT for Speckle Noise Reduction, in: D. Metaxas, L. Axel, G. Fichtinger, G. Székely (Eds.), Medical Image Computing and Computer-Assisted Intervention – MICCAI 2008, Springer Berlin Heidelberg, Berlin, Heidelberg, 2008: pp. 815–823.
[8]R.R. Rodríguez, B. Ahmadi, G. Suárez, P. Mazurek, S. Barzanjeh, P. Horodecki, Optimal quantum control of charging quantum batteries, New J. Phys. 26 (2024) 043004.
[9]J. Chen, Recent Developments on Silicon Based Solar Cell Technologies and their Industrial Applications, in: M.M. Eissa (Ed.), Energy Efficiency Improvements in Smart Grid Components, InTech, 2015.
[10]J.A. Smyder, T.D. Krauss, Coming attractions for semiconductor quantum dots, Materials Today 14 (2011) 382–387.
[11]M.C. Beard, J.M. Luther, O.E. Semonin, A.J. Nozik, Third Generation Photovoltaics based on Multiple Exciton Generation in Quantum Confined Semiconductors, Acc. Chem. Res. 46 (2013) 1252–1260.
[12]C.-M. Li, N. Lambert, Y.-N. Chen, G.-Y. Chen, F. Nori, Witnessing Quantum Coherence: from solid-state to biological systems, Sci Rep 2 (2012) 885.
[13]D. Verma, T.O. Saetre, O.-M. Midtgard, Review on UplDown Conversion Materials for Solar Cell Application.
[14]S. Sankara Kumar, A. Karthick, R. Shankar, G. Dharmaraj, Energy forecasting of the building integrated photovoltaic system based on deep learning dragonfly-firefly algorithm, Energy 308 (2024) 132926.
[15]M.G. Kozlov, M.S. Safronova, J.R. Crespo López-Urrutia, P.O. Schmidt, Highly charged ions: Optical clocks and applications in fundamental physics, Rev. Mod. Phys. 90 (2018) 045005.
[16]M. Huang, A. Stapleton, J. Camparo, Lamplight Stabilization for GPS Rb Atomic Clocks via RF-Power Control, 65 (2018).
[17]J. Grotti, S. Koller, S. Vogt, S. Hfner, U. Sterr, C. Lisdat, H. Denker, C. Voigt, L. Timmen, A. Rolland, F.N. Baynes, H.S. Margolis, M. Zampaolo, P. Thoumany, M. Pizzocaro, B. Rauf, F. Bregolin, A. Tampellini, P. Barbieri, M. Zucco, G.A. Costanzo, C. Clivati, F. Levi, D. Calonico, Geodesy and metrology with a transportable optical clock, Nature Phys 14 (2018) 437–441.
[18]S. Kolkowitz, I. Pikovski, N. Langellier, M.D. Lukin, R.L. Walsworth, J. Ye, Gravitational wave detection with optical lattice atomic clocks, Phys. Rev. D 94 (2016) 124043.
[19]E. Pedrozo-Peafiel, S. Colombo, C. Shu, A.F. Adiyatullin, Z. Li, E. Mendez, B. Braverman, A. Kawasaki, D. Akamatsu, Y. Xiao, V. Vuleti, Entanglement-Enhanced Optical Atomic Clock, Nature 588 (2020) 414–418.
[20]A.A. Petrov, V.V. Davydov, N.S. Myazin, V.E. Kaganovskiy, Rubidium Atomic Clock with Improved Metrological Characteristics for Satellite Communication System, in: O. Galinina, S. Andreev, S. Balandin, Y. Koucheryavy (Eds.), Internet of Things, Smart Spaces, and Next Generation Networks and Systems, Springer International Publishing, Cham, 2017: pp. 561–568.
[21]Y. Zhang, W. Yang, S. Zhang, J. Zhao, Rubidium chip-scale atomic clock with improved long-term stability through light intensity optimization and compensation for laser frequency detuning, J. Opt. Soc. Am. B 33 (2016) 1756.
[22]A. Aryanti, I. Mekongga, Implementation of Rivest Shamir Adleman Algorithm (RSA) and Vigenere Cipher In Web Based Information System, E3S Web Conf. 31 (2018) 10007.
[23]F. Xu, X. Ma, Q. Zhang, H.-K. Lo, J.-W. Pan, Secure quantum key distribution with realistic devices, Rev. Mod. Phys. 92 (2020) 025002.
[24] 丛爽,et al.基于量子卫星“墨子号”的量子测距过程仿真实验研究[J].系统仿真学报,2021,33(02):377-388.
[25] 王强.量子激光雷达探测方式和性能提高的研究[D].哈尔滨工业大学,2016..
[26]R. Hrtle, M. Butzin, O. Rubio-Pons, M. Thoss, Quantum Interference and Decoherence in Single-Molecule Junctions: How Vibrations Induce Electrical Current, (2011).
[27]J.-H. Seo, J.H. Park, S.-I. Kim, B.J. Park, Z. Ma, J. Choi, B.-K. Ju, Nanopatterning by Laser Interference Lithography: Applications to Optical Devices, J. Nanosci. Nanotechnol. (2014).
[28]A. Hochrainer, M. Lahiri, M. Erhard, M. Krenn, A. Zeilinger, Quantum indistinguishability by path identity and with undetected photons, Rev. Mod. Phys. 94 (2022).
[29]M. Gunzinger, W.C. Dougherty, CHANGING THE GAME: THE PROMISE OF DIRECTED-ENERGY WEAPONS.
免责说明
北京卓立汉光仪器有限公司公众号所发布内容(含图片)来源于原作者提供或原文授权转载。文 章版权、数据及所述观点归原作者原出处所有,北京卓立汉光仪器有限公司发布及转载目的在于传递 更多信息及用于网络分享。
如果您认为本文存在侵权之处,请与我们联系,会*一时间及时处理。我们力求数据严谨准确, 如有任何疑问,敬请读者不吝赐教。我们也热忱欢迎您投稿并发表您的观点和见解。
-
产品搜索
联系方式
- 联系人:市场部
- 电 话:010-56370168-696
- 手 机:13810146393
- 传 真:010-56370168
- 邮 编:101102
- 地 址:北京市中关村科技园区通州园金桥产业基地环科中路16号,联东U谷中试区68号B座
- 网 址: https://bjzolix.cn.goepe.com/
http://www.bjzolix.com


手机访问



















